Hemel Hempstead, UK – Heidelberg Engineering has teamed up with etCETera and CETpoints.com to deliver free CET for optometrists and dispensing opticians. EtCETera is a new free quarterly journal that works in conjunction with CETpoints.com to provide eye care professionals access to a range of educational material. Each issue of etCETera will feature a case study from Heidelberg Engineering and three additional case studies will be available online at CETpoints.com.

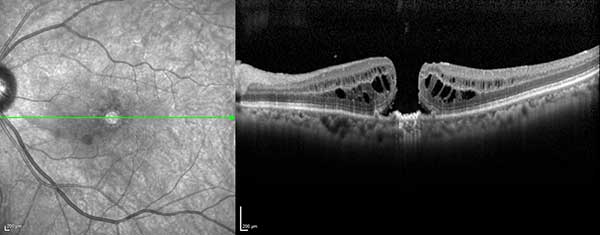
“The case studies include real life examples of macular disease and provide the patient history, OCT and fundus examination results”, explains Christopher Mody, Director of Clinical Services. “They are designed to enhance and test the diagnostic skills of optometrists and dispensing opticians who must diagnose and manage each case correctly and then compare their answers to the feedback from the subject expert.”
Viewing the case studies online and completing the multiple choice questionnaire is worth 1 CET point to both optometrists and dispensing opticians. Participants just simply register for a free account on CETpoints.com to gain access. A new set of case studies and CET will be available with each release of etCETera.
Visit www.cetpoints.com to register to receive etCETera and click on the Heidelberg Engineering tab on the homepage to complete the CET now.